================================================== Cuneus



Ontologie : éléments d'ontologie du cerveau

élément : Brain_area_Class

rdf:ID : Cuneus

rdfs:label : Cuneus

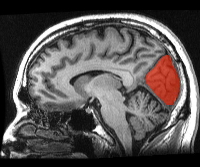
Cuneus

le Cuneus est une région du cerveau dans le lobe occipital.

The cuneus is a portion of the human brain in the occipital lobe. The cuneus (Brodmann area 17) receives visual information from the contralateral superior retina representing the inferior visual field. It is most known for its involvement in basic visual processing. Pyramidal cells in the cuneus (striate cortex) project to extrastriate cortices (BA 18,19).

The mid-level visual processing that occurs in the extrastriate projection fields of the cuneus are modulated by extraretinal effects, like attention, working memory, and reward expectation.

In addition to its traditional role as a site for basic visual processing, gray matter volume in the cuneus is associated with better inhibitory control in bipolar depression patients.

Pathologic gamblers have higher activity in the dorsal visual processing stream including the cuneus relative to controls.

image/svg+xml Conception : Henry Boccon-Gibod Aire du Cerveau c Source bibliographique D http://en.wikipedia.org/wiki/Lingual_gyrus compose P Cortex visuel est affecté par P Dépression Cuneus